russell小体中文名
本文摘要: 一、揭开“russell小体”的神秘面纱(图片来源网络,侵删)在生物医学领域,有一个术语叫做“russell小体”,这个名字听起来可能有些陌生,但它与我们的健康息息相关。究竟什么是russell小体?它对人体有什么影响?小编将深入探讨这一问题,为读者揭开russell小体的神秘面纱。
一、揭开“russell小体”的神秘面纱

在生物医学领域,有一个术语叫做“russell小体”,这个名字听起来可能有些陌生,但它与我们的健康息息相关。究竟什么是russell小体?它对人体有什么影响?小编将深入探讨这一问题,为读者揭开russell小体的神秘面纱。
二、russell小体是什么?
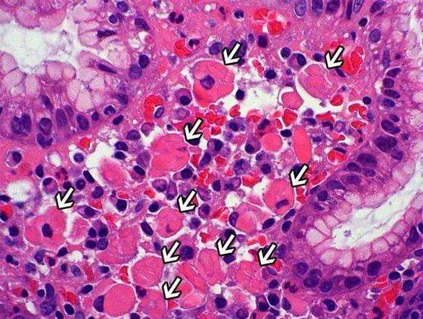
russell小体,又称瑞氏小体,是一种病理性的细胞内包涵体。它通常出现在患有某些疾病的细胞中,如多发性硬化症、慢性淋巴细胞性甲状腺炎等。russell小体由免疫球蛋白和免疫复合物构成,其形成与免疫系统的异常反应有关。
三、russell小体的形成原因
1.免疫系统异常:当免疫系统对自身组织产生异常反应时,会产生russell小体。
2.病毒感染:某些病毒感染会导致细胞内形成russell小体。
3.免疫复合物沉积:免疫复合物在组织中的沉积,可引发炎症反应,进而形成russell小体。
四、russell小体的诊断与治疗
1.诊断:通过实验室检查,如细胞学检查、免疫荧光检查等,可以诊断出russell小体。
2.治疗:针对russell小体形成的原因进行治疗,如使用免疫抑制剂、抗病毒药物等。
五、russell小体与多发性硬化症
多发性硬化症是一种自身免疫性疾病,russell小体在该病的发生发展中起着重要作用。研究表明,russell小体在多发性硬化症患者的脑组织中广泛存在,是诊断该病的重要依据。
六、russell小体与慢性淋巴细胞性甲状腺炎
慢性淋巴细胞性甲状腺炎是一种自身免疫性甲状腺疾病,russell小体在该病的发生发展中同样具有重要作用。患者甲状腺滤泡上皮细胞中存在大量russell小体,提示疾病活动。
七、russell小体的预防
1.增强免疫力:通过合理饮食、规律作息、适量运动等方式,提高自身免疫力,减少russell小体的形成。
2.避免病毒感染:注意个人卫生,预防病毒感染。
八、
russell小体是一种与多种疾病相关的病理现象,了解其形成原因、诊断与治疗,有助于我们更好地预防和治疗相关疾病。小编从多个角度对russell小体进行了深入探讨,希望能为广大读者提供有益的知识。